CES PATIENTS ONT BENEFICIE DE SOINS DENTAIRES EN HONGRIE


Sarah (2014) suite à un accident a dû refaire ses dents.

Alexandria (2016)  Soins dentaires 

Gabriel a refait une dentition complète (2015)

Charlie implants et couronnes  (2015)

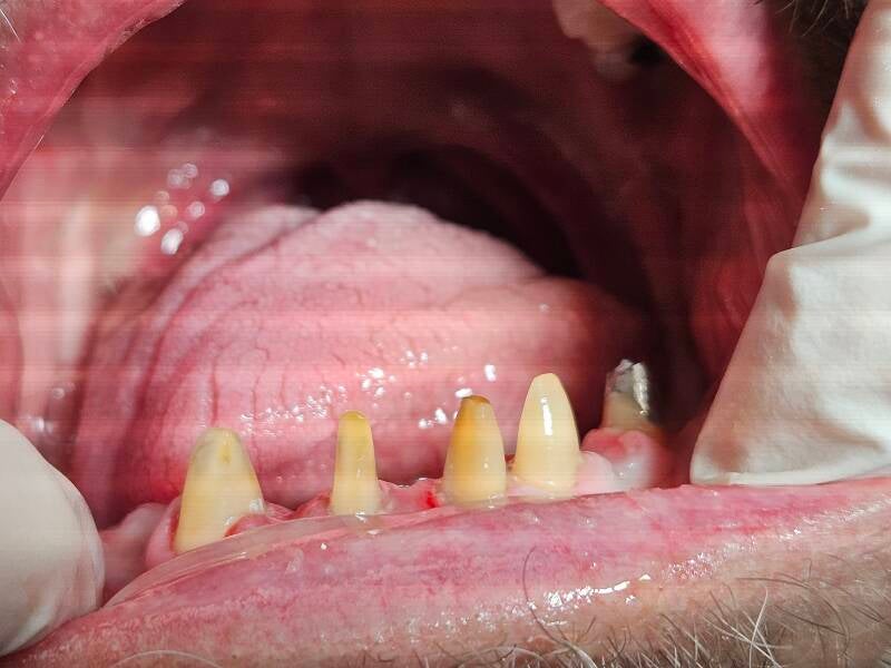
Pascal (2014) Extractions et couronnes  

Julien (2014)

Extractions,

implants et couronnes 

Josiane  3  Implants

(2013)

Josiane 2024

Blanchiment à Budapest

Jean-Paul rêvait d'avoir la même dentition que  Gabriel (2019/2020) 

Marie-Paule s'est offert un beau sourire pour aller au mariage de son fils en Australie ! (2015)

Alex (2015) Extractions, couronnes, prothèse

Pascal (2024) Extractions, couronnes céramo-métalliques et Stellite 

                       LES PHOTOS AVANT/LEURS TEMOIGNAGES

Gabriel lorsqu'il s'est présenté à nous désespéré, avait rompu toute vie sociale. Il nous a fait confiance, il est parti en Hongrie. Lorsqu'il est revenu il nous a dit : "je suis heureux, j'ai enfin un sourire, je ne cache plus mes dents, et j'ai retrouvé un travail et ...  une copine" merci !

Jean-Paul, lors de son premier appel nous a demandé le même sourire que Gabriel. Il a donc bénéficié de soins à Budapest et à la fin du traitement, il nous a communiqué : "Je suis complètement satisfait du résultat et de tout ce qui a été mis en oeuvre pour y arriver".

Charlie avait les dents de devant très abîmées. A son retour de Hongrie, il nous a écrit "l'avant-après des incisives est spectaculaire, le sourire et l'assurance reviennent à une vitesse incroyable !"

A gauche : Marie-Paule est ravie d'avoir retrouvé son sourire et d'avoir économisé tout compris + de 40 % (vol, facture, et nourriture).  Si besoin, je n'hésiterai pas à retourner en Hongrie !

A droite : Pascal après avoir obtenu 3 rendez-vous en France en 17 mois sans être pris en charge : soit le dentiste ne voulait pas extraire les dents, soit habitant hors du  département du dentiste par 2 fois ... donc refus de soigner. En 2 voyages, puisqu'il y a eu 7 extractions, 16 couronnes et une stellite. "Il dit être heureux, super travail, sans douleur et après remboursement reste à charge 600 € sur les soins dentaires + les 2 vols 270 € + nourriture puisque la clinique met des studios à disposition gratuitement pour les patients (seul reste à charge les frais de ménage 30 €)".

Créez votre propre site internet avec Webador